予防歯科
「予防する」という考え方
歯が痛くなったら歯科に通う…これは当たり前のことですが、「治療」が必要になる前の「予防」はとても重要です。
「予防歯科」は家庭での実践が大切です。
しかし、家庭での歯磨きだけ、あるいは歯科医院でのお掃除だけ、などどちらか片方だけではお口の健康を守ることができません。自分の歯を守るために、歯磨きをするのはもちろん、歯科で定期検診を!歯医者さんで予防歯科の基本を学びましょう。
では、予防歯科とはどんなことでしょうか?その一部をご紹介します。

予防歯科の紹介
■リスク診断
普段の生活習慣や食生活などから、虫歯になりやすいタイプか診断します。
歯みがきだけでなく、生活習慣の見直しも考えましょう。
■スケーリング
歯の表面についているプラークや歯石を除去します。歯垢だけならセルフケアでも落とすことができますが、歯石の除去にはプロの力が必要です。
一度歯石を取り除いても、放っておくとまた歯石が付着してしまいます。
定期健診でしっかり取り除きましょう。




■口腔衛生指導
一人一人のお口の中の状態に合わせた歯みがきの指導等を行います。
正しいセルフケアのポイントを教わり、家庭でプラーク(歯垢)を効果的に取り除きましょう。
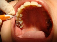
■PMTC(プロフェッショナル・メカニカル・トゥース・クリーニグ)
専用の器具で歯を清掃し、歯の着色汚れなどを落とします。表面がつるつるピカピカになります。プラークやステイン(色)、タバコのヤニまでつきにくくなり、むし歯や歯周病が予防できるのです。とても気持ちがいいですよ!
保険で使えない薬剤を使用しますので自由診療になりますが、予防効果が高く、結果的に生涯の歯科医療費を最小に抑えられる可能性があります。
3ヶ月おきなど定期的に受けることをお勧めします。

PMTC用器具・メルサージュプロ
■PMTCの流れ
1.診察 | 歯科医師により歯や歯茎の状態を診察します。磨き残しが残っていないか、染め出しをして、歯磨き指導などを行います。 |
---|---|
2.クリーニング | 染め出しで磨き残しが多い箇所をチェックし、クリーニングします。 |
3.歯石取り | 歯石は歯垢が固まった石のようなもので、普段の歯磨きで取り除くことができません。歯科衛生士が様々な種類のスケーラーを使用して、歯や歯茎を傷つけないようにしながら取り除いていきます。 |
4.着色や汚れの除去 | 専用のパウダーで歯の表面の汚れを落とします。 |
5.歯の清掃 | 歯の表面や歯間にクリーニング専用の研磨材を塗り、歯の清掃をします。 ブラシや専用の三角チップで歯の表面や歯間の汚れを取り、カップで磨きます。噛み合せ部分の深い溝の汚れなども専用のブラシできれいに清掃し、デンタルフロスなどで仕上げをします。 |
6.洗浄 | お口の中を消毒薬の成分が入った洗浄液で洗い流し、歯周ポケットまで薬が行き届くようにします。 |
7.フッ素塗布 | 虫歯を予防し、歯質を強くする効果のあるフッ素を塗ります。 |
■フッ素塗布
歯に直接フッ素を塗ることで、効果的に虫歯を予防します。歯のクリーニング後に定期的にフッ素を塗ると、虫歯に強い丈夫な歯になります。

歯科医院での定期検診のメリット
・虫歯や歯周病の予防
・虫歯や歯周病の早期発見
・早期治療による治療費用・通院回数の減少
・口臭の予防
・プロの手による歯石除去
・毎日の歯磨きを正しく行えるブラッシング指導
虫歯を放っておくと・・
虫歯は放っておいても自然に治る病気ではありません。
虫歯をそのままにしておくとどうなるのでしょうか。
・虫歯による痛み
虫歯菌が歯の中心にある神経まで達すると痛みがでてきます。食事で噛んだ時や、冷たいものがしみます。
・頭痛や副鼻腔炎になる
細菌が鼻腔まで広がると副鼻腔炎になることがあります。頬や頭が痛くなりやすくなり、通院も歯科医院だけではなく、耳鼻咽喉科に行く必要がでてきます。
・神経を抜く治療になる
虫歯が神経にまで進行すると激しい痛みを感じ、神経を抜く根管治療となります。神経を抜いてしまった歯は弱くなりやすく、歯を失うことにつながるので、その前に治療することが大切です。
・歯を失う
虫歯によって歯を失うこともあり、食事や発音がしにくい、入れ歯の必要性があるが外見が気になる…などの不具合がでてきます。
・歯茎が腫れる
歯が抜いても歯茎に菌が入り込んでいた場合、炎症が起きることがあります。腫れて排膿し、歯茎を切開する治療をします。
虫歯予防に効果の大きいフッ化物(フッ素)
フッ素は、身体を構成する微量元素の一つであり、歯や骨に含まれているほか、海水・草・木・野菜など自然界にも広く分布しています。
ムシ歯予防に使用されるフッ素化合物(以下、フッ化物とします。)は、ほたる石(岩石)や水晶石から精製されて、作られています。
フッ化物は、
- 歯質を強くする
- ムシ歯の原因菌の活性を抑制する
- 歯や歯垢(プラーク)にとり込まれ初期ムシ歯の再石灰化を助ける
などの作用でムシ歯の予防をします。
フッ化物の利用方法には、フッ素塗布(歯科医院等で歯科医師・歯科衛生士が歯に直接フッ素を塗る方法)、フッ素入り歯みがき剤の使用、そして、フッ化物洗口法(フッ素洗口液で、口をブクブクうがいする方法)などがあります。
日本では、フッ化物の過剰摂取によるリスク(歯のフッ素症、骨フッ素症)が懸念されて、諸外国に比べて50年余りもその使用に積極的ではありませんでした。しかし、WHO(世界保健機構)の勧告(1969年)、日本歯科医師会の見解(1999年)を経て、2004年1月、厚生労働省の「フッ化物洗ロガイドライン」が作成され、国内での普及が期待されています。
フッ素のはたらき
■フッ素は歯の質を強くする自然元素のひとつです
フッ素は、毎日の食事を通して私たちのカラダに摂取されている必須栄養素のひとつでもあり、歯質を強化する効力が最も高いことから、世界各国でむし歯予防に利用されています。

■歯の表面のエナメル質を強化し、酸に溶けにくい強い歯をつくります
フッ素はエナメル質表面の成分※2と入れ替わり、安定した結晶構造へとつくりかえます。
このことにより、エナメル質表面の結晶は元の状態よりも、虫歯菌の出す酸に溶けにくい強い歯に変わります。
※2:水酸基、炭酸基、マグネシウムなど

■再石灰化の促進、虫歯菌の活動を抑制します
虫歯菌の初期段階には脱灰部分が白い斑点として現れますが、この場合にフッ素があれば再石灰化が促進され脱灰部分の修復が行われます。また、フッ素自身が虫歯菌に対して抗菌力をもっているので、虫歯菌の活動も抑制します。

フッ素イオン導入装置『パイオキュアー』
パイオキュアーは、う蝕(虫歯)に抵抗性のあるフッ化リン酸カルシウム(フルオロアパタイト)の歯質を作る、フッ素イオン導入装置です。
う蝕予防に効果を発揮するとともに、根管治療にも使用でき、歯科医療の幅広い分野で活躍します。



家庭で手軽に出来る『フッ化物洗口法』
決められた用法・用量を守れば、フツ化物応用は非常にムシ歯予防に効果的で安全であるといえます。 『フッ化物洗口法』は、家庭で出来るフッ素の利用法です。まず、一日一回、洗口を行う『毎日法』がおすすめです。
毎日法は、フッ素濃度薬250ppmの洗口液を7~10ml、お口に含み、30秒間ブクブクうがい(ガラガラうがいではありません)を行ってから、全て吐き出します。洗口は歯ブラシの後に行い、その後30分位は飲食をさけて下さい。就寝前に行うのが、最も効果的です。
洗口を始める時期は、ブクブクうがいが出来る年齢(4歳位)からで、永久歯が完全に生えそろう14歳位までの時期に行うのが、良いといわれています。
永久歯の萌出前からフツ化物洗ロを続けることで、萌出する永久歯の強さが増すのです。
小学校6年間に継続して洗口した場合の永久歯のムシ歯予防効果は、約50%前後であり、また、中学校で洗口をやめてしまったとしても、その効果は持続します。
フツ化物の効果は、歯の生えはじめの頃が一番有効ですが、もちろん大人にも良く、特に高齢者の方々や、歯ブラシでの口腔内管理がしつらい方々に、非常に効果的です。
毎日、歯みがきをする事はムシ歯予防に必要不可欠ですが、歯ブラシで取りきれないお口の中の汚れにも洗口法は有効なのです。
フッ化物の利用方法で最も理想的なのは、5歳位からフッ素入り歯磨剤を使用すると共に、フッ化物洗口を行いながら、半年に一度位のペースで歯科医院でフッ素歯面塗布を行うことと思われます。そして、その時にムシ歯が出来ていないかどうか、よくチェックしてもらいましょう。
自然界からのプレゼントともいえるフッ化物を上手に利用して、毎日の健康に役立てましょう。
■フッ化物洗口剤【ミラノ―ル®】
ご自宅でもフッ素による歯の予防ができるよう、当院ではフッ化物洗口剤【ミラノ―ル®】を取り扱っています。
◎洗口液の作り方
- 200ccのプラスチック溶解瓶に、ミラノ―ル1包を入れます。
- 200ccの水でよく振って溶かしてください。
◎洗口方法
- 1日1回、5~10ccを口に含み30秒~1分間洗口します。

家庭での口腔ケア
■ブラッシング
一般的な歯磨きです。
普段何気なく使っている歯ブラシですが、歯の大きさや歯並び、歯肉の状態等によって選択するのがベストです。
●歯ブラシの大きさ
乳歯用 | 毛の部分が小さい歯にぴったりの大きさ 柄の大きさ(長さ)が子どもが持ちやすいもの |
---|---|
生え変わり用 | 第一大臼歯に毛の部分が届きやすい程度のネックの長さのもの |
●毛の硬さ
やわらかめ | 歯肉が弱い 歯肉炎などで出血しやすい |
---|---|
ふつう | 歯肉の状態が健康 |
かため | 歯肉を傷つけないように注意してください |


また、歯ブラシの交換時期をご存知でしょうか?
歯ブラシの毛先が開いた状態だと、虫歯の原因となるプラーク(歯垢)の除去率が低下してしまいます。
歯ブラシは1ヶ月に1本を目安に取り替えましょう。
■磨き方

■デンタルフロス
歯と歯の間についたプラーク(歯垢)を取り除き、清掃するための細い糸です。
歯ブラシでは届かない歯間の側面や、歯間下の歯ぐきに付いた歯垢を除去します。




■歯間ブラシ
デンタルフロスと同様、歯と歯の間についたプラーク(歯垢)を取り除き、清掃するための道具です。
持ち手がついているので、より使いやすくなっています。
持ち手の形やブラシ部分の形状で、様々な種類が発売されています。





■洗口剤(コンクールF)
むし歯の発生および進行の予防、歯肉炎の予防、歯槽膿漏の予防、口臭の防止をに効果のある、「グルコン酸クロルヘキシジン」と「グリチルリチン酸モノアンモニウム」が配合された洗口剤です。
緑茶抽出液とl-メントールを配合しているため、後味も良くスッキリします。
【使用方法】
水約25~50mL(コップ約1/8~1/4位)にコンクールF5~10滴を滴下し、よくかき混ぜて1日数回洗口(口中をすすぐ)し、吐き出してください。

■キシリトール※100%配合ガム(キシリジョイ)
口腔内の健康で知られる、フィンランド産のキシリトール100%配合ガムです。
国産のガムで、キシリトールが100%配合されているガムはありません。
そのため、薬局やスーパーでは手に入れることができません。
※キシリトールは、フィンランドでむし歯の予防効果が認められた安心できる甘味料で、歯の再石灰化を促進する働きがあります。
食事やおやつの後、寝る前などに長時間続けて噛むことが効果的です。

