入れ歯
入れ歯とは
歯を失ってしまった時の治療法として、一般的な治療法で、自分で着脱できる人工歯です。
入れ歯にも多くの種類があり、失った歯の本数や噛み合わせの有無、生活スタイルや何を重視するかで、適しているタイプの入れ歯が異なってきます。
入れ歯の種類
入れ歯は「総入れ歯」と「部分入れ歯」に大きく分けられます。
・総入れ歯
歯を全て失った場合に使用する入れ歯です。人工床が歯茎に吸い着いて固定する仕組みになっており、その上に人工の歯がついています。
・部分入れ歯
歯を1本~数本失った場合には部分入れ歯となります。人工の歯にバネがついており、隣の歯にひっかけて使うので、健康な歯に負担がかかっている状態が続きます。
保険適用の入れ歯と自費(保険適用外)入れ歯の違い
保険適用の入れ歯と自費(保険適用外)の入れ歯では、様々な違いがあります。
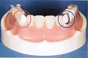
写真の左側が自費(保険適用外)の入れ歯、右側が保険適用の入れ歯です。

保険適用 |
自費(保険適用外) |
|
人工歯の色・形の種類 |
少ない |
バリエーションが豊富で、天然歯に近い形状を実現できる |
床の種類 |
少ない |
多い |
装着時の感覚 |
違和感を感じる場合がある | 違和感がほとんどない |
強度 |
少し劣る | 優れている |
かみ心地 |
食事によっては食べにくい物がある | より良くかめる |
上記のような違いのほかに、保険適用の入れ歯と、自費(保険適用外)で作る入れ歯があります。
保険適用の入れ歯は、料金を安価にできますが、使う素材や工程などが細かく決められています。
自費入れ歯の場合は、オーダーメイドの入れ歯を作ることができ、症状や希望に沿った入れ歯が作れるように、様々な素材から選ぶことができます。
違いを詳しくみてみましょう。
・素材の違い
保険適用される入れ歯は、使っていい材料が決められており、プラスチックでしか作ることができません。歯茎部分もピンク色のプラスチック素材なので、味覚や感触が伝わりにくいです。
自費入れ歯は、材料の制限はありません。食感や強度、審美性など、患者様が希望する入れ歯に近いものを作ることができます。
また、金属アレルギーの方には、金属を使用しないように配慮することができます。
・製作方法が違う
特に部分入れ歯は保険適用と自費の場合に差がでてきます。
保険適用の場合、部分入れ歯のバネの数や、どこにひっかけるかが決められており、噛み合わせの強さなどに影響が出やすくなってきます。強度のためにプラスチックを厚くすると、装着した時に違和感やバネがかかっている歯に負担がかかってしまったりします。
自費では自由に入れ歯の構造を変えてもよいため、強度や安定感のある入れ歯や、機能的にも使いやすい入れ歯を作ることができます。
・オーダーメイド
保険診療の場合は、素材や製造方法が決められていますが、自費の入れ歯の場合は、完全にオーダーメイドで作ることができます。
試装着したときに、希望のものと異なった場合には、素材や構造を変えることができ、より満足度の高い入れ歯ができます。
患者様が納得するまで話しあい、噛み合わせなどを細かく調整しながら製作できるので、入れ歯を作り直す理由で多い違和感を減らすことができます。
・製作費用
保険適用は患者様の負担は3割なので、安価に製作することができます。
プラスチックを使用しているため、費用の相場は総入れ歯は約10,000円~、部分入れ歯は約5,000円~です。
自費の場合は希望に合わせた分だけコストが高くなります。希望をかなえたり悩みを解消したりするたびに、素材や製作工程がかかってくる場合が多いからです。
より快適な入れ歯
自費(保険適用外)の入れ歯は、より快適に生活ができるようになります。
代表的なものを紹介します。
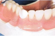
ノンクラスプデンチャー(バネなし入れ歯)
お出かけ用の入れ歯「フレキシブルデンチャー」とは?
通常の義歯(入れ歯)の床用材料(一般的にピンクの歯肉の部分)に比べ、 強度が高く、粘靱性に優れています。
そのため、軽く、薄く製作する事ができ、多少の歯肉部オーバーハング部(土手の部分)にも入れることができます。
また、部分義歯(バーチャルデンチャー)の場合には、特に粘靭性に富んだ性質を利用して維持装置と一体に作製できるため、バネ(金具・ツメ)をなくすことができます。
さらに、どうしてもバネが必要な場合には、バネに相当する部分を透明で目立たなくすることができます。ただし、現日本においては、厚生労働省の医療用材料としての許可・認可が出ていないため、歯科医師個人の個人輸入・個人責任という形に なってしまいます。
しかし、EU諸国やアメリカ、FDA(アメリカ食品医療薬品局) では許可を得られており、安全性は確認されています。
高い柔軟性、食物の介入が少なく、初期形態へ完全に復元する弾力性。素材はナイロン系のスーパーポリ アミド、アクリルレジンの1.5倍ほどもある耐衝撃性です。
ノンクラスプデンチャー(バネなし入れ歯)の特徴



当院のノンクラスプデンチャー(バネなし入れ歯)治療例




ホワイトクラスプデンチャー(バネが白い入れ歯)治療例



自費(保険適用外)入れ歯をオススメする方
- 保険適用の入れ歯で満足できない
- 食事をすると痛みがある
- 見た目がよくない
- 外れそうで不安
保険適用の入れ歯も快適に過ごしている方ももちろんいらっしゃいますが、もしも不満や痛みを抱えているなら、自費での入れ歯も選択肢にいれてもよいでしょう。
まずは、じっくり相談し、どのような素材や工程を踏めば納得ができる入れ歯ができるのか、一緒に考えていきましょう。
不衛生な入れ歯が引き起こす身体への悪影響
入れ歯をいつも清潔にしておかなかったり、噛み合わせが悪いままにしておくと、お口の中が不衛生になり、様々な悪影響が起こります。


不衛生な入れ歯が引き起こす悪影響



入れ歯のバネを引っかけている隣の自然歯が、虫歯や歯周病になることがあります。

虫歯や歯周病にかかった、入れ歯のバネを引っかけている隣の自然歯は、やがて抜け落ちてしまうこともあります。
入れ歯の上手なお手入れ方法
入れ歯の上手なお手入れ方法をご紹介します。
入れ歯のお手入れは、歯磨きと同様、こまめに行いましょう。

①専用ブラシで磨く
入れ歯は、傷つけないように専用のブラシで磨きます。
部分入れ歯は、バネの部分に汚れが溜まりやすいので、特にしっかり磨きます。
力を入れ過ぎるを、入れ歯が壊れてしまう恐れがあるので、気をつけましょう。

②専用の洗浄剤で仕上げ
市販されている洗浄剤には、「総入れ歯専用」と「部分入れ歯専用」があります。
それぞれ特徴がありますので、使い分けて洗浄を行います。
医院でも販売していますので、不明な点はスタッフまでご相談ください。


身体の不調は合わない入れ歯のせい!?
以下のような症状でお悩みの方は、合わない入れ歯を使い続けていることが原因である可能性があります。
少しでも当てはまる方は、お早めにご相談ください。




入れ歯を安定させる方法

入れ歯を安定させるポイント
1.必ず歯科医院の定期健診を受ける
お口の中の形状は変化していきます。それによって入れ歯が合わなくなることがあるので、定期的に歯科医院に通いましょう。
2.自分で削ったり、曲げたり調整しないようにする
入れ歯は精巧な技術で作られています。ご自分で手を加えてしまうと、歯科医院での調整が難しくなり、作り直しになることがあるので、絶対にやめましょう。
3.入れ歯安定剤を上手に使う
入れ歯安定剤は、様々なタイプのものが市販されています。
ご自身の使いやすい物を選びましょう。
当院でも販売しておりますので、詳しくはスタッフまでご相談ください。