審美歯科・ホワイトニング|鎌倉市大船の歯医者|医療法人東歯会 鎌倉ハート歯科クリニック

中ページメイン画像
中ページメイン画像
 
 
友だち追加

HOME > 審美歯科・ホワイトニング

審美歯科

▲下線部をクリックすると、その項目までジャンプします。

審美歯科とは

審美歯科とは、歯をより美しく整えるための治療です。虫歯や歯周病などで歯科医院に通うのではなく、見た目を整えることを目的としています。
笑ったり話したりするときに金属が見えることが気になる方には、虫歯治療で歯を削ったあとに使用される金属の詰め物や被せ物を、セラミックなどの白い素材にする治療方法があります。
また、審美治療は金属を使用しないで、メタルフリーの材料で補綴する治療もあり、金属アレルギーの方に適した治療です

審美歯科素材の種類

e-max

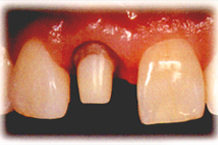
■より自然な白さを求めている方に

「e-max」はオールセラミックスの新素材です。
天然歯に調和する自然な色調、強度と対向する歯へのやさしさを
あわせ持つ理想の材質で、前歯から奥歯まで、あらゆる歯の修復に対応します。

■もっと笑顔が好きになる!

「e-max」インレー(小さな詰めもの)、クラウン(かぶせもの)はこんな方に最適です!

  • 金属の詰めものを自然な色に
  • 金属アレルギーが気になる。
  • 手の届く費用で白い歯に
パールエステ

e-max治療例

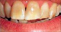
パールエステ治療例術前
before
パールエステ治療例術後
after

オールセラミックス(ジルコニア、メタルセラミックス)

オールセラミックス治療の特徴

オールセラミックス治療の特徴

■天然歯に近い、ナチュラルカラーです。

セラミックの最大の特徴は、他の素材に比べて天然歯に最も近い色調と透過性を表現できることです。
進行したムシ歯を治療する場合、今までは金属のクラウンをメインに目に見える部分だけを歯の色に近いセラミックで覆うことで見た目をよくしていました。
オールセラミックス治療の場合はそのすべてにセラミックスを用いるため、驚くほど自然な感じに仕上がります。

■身体に優しい素材です。

セラミックスは生体親和性が高いため、体にやさしく、金属アレルギーの心配もありません。

■耐久性に優れ、長持ちします。

セラミックスは非常に高い強度を持つため、欠けたり、磨り減ることがほとんどありません。
また、歯とほぼ同じ硬さですからかみ合わせ相手の歯にも優しく安心です。

■天然歯に近い、ナチュラルカラーです。

セラミックの最大の特徴は、他の素材に比べて天然歯に最も近い色調と透過性を表現できることです。
進行したムシ歯を治療する場合、今までは金属のクラウンをメインに目に見える部分だけを歯の色に近いセラミックで覆うことで見た目をよくしていました。
オールセラミックス治療の場合はそのすべてにセラミックスを用いるため、驚くほど自然な感じに仕上がります。

セラミックの特徴

オールセラミックス治療例

被せ物の表面がはげて、歯と歯の間に金属が見えて黒くなってしまった場合でも、キレイにすることができます。

オールセラミックス治療例術前①
術前
 
 
右向き矢印
オールセラミックス治療例術後①
術後

歯と歯ぐきの間の詰め物が古くなり、変色しています。また、歯と詰め物の間の隙間が虫歯になりかけています。
オールセラミックで被せ、キレイになりました。

オールセラミックス治療例術前②
術前
 
 
右向き矢印
オールセラミックス治療例術後②
術後

ホワイトニング

歯は毎日の飲食や磨き残し、加齢などの原因で徐々に黄ばんできています。
歯が黄色いと不潔な印象を周りに与えたり、口臭の原因になったりすることがあります。
ホワイトニングはそんな歯の黄ばみが気になる方や就職活動や結婚式などを控えた方におすすめの治療法です。
歯を白くすることで清潔感や素敵な笑顔になり、好印象を与えることができます。
 
ホワイトニングは、薬剤を使用して、歯の内部の色素を分解・漂白し、元からある自分の歯を白くします。
内部まで染み込んだ着色汚れは、表面の汚れを落とすだけの歯磨きやクリーニングでは落とすことができません。

ホームホワイトニング使用前
ホームホワイトニング使用後

美しいスマイルは、人に対してさわやかで、清潔で、明るいイメージを伝えます。
口元にコンプレックスを感じておもいきって笑えなかった方が、歯並びや歯の色を変えてあげることで、コンプレックスがなくなり素敵な笑顔になります。
 
歯や口元のコンプレックスをなくすことにより、見た目のイメージを左右するだけでなく、精神面までも変えることができるのです。
いつもきれいな歯でいたいなと思ったら、歯磨きは欠かせません。
しかし、たとえ毎食後きちんと歯磨きをしたとしても、完全に汚れを落とすことはできません。
タバコはもちろん、コーヒーや紅茶、赤ワインも歯の着色の原因となるのです。また、歯の色も肌の色と同じように、実は生まれつきのもので、個人差があります。
美しい歯といえば「白」いというイメージがありますが、本来の歯の色は単純な「白」ではありません。イエローがかった歯、ピンクがかった歯、ブラウンがかった歯、でもそれは自然な色なのです。このように歯が「白」くない原因は、先天的なものと後天的なものがあります。
それぞれのケースにあった、それぞれの「美白」の方法があると言えるのです。

ホワイトニングの種類

歯科医院で歯科衛生士が施術する『オフィスホワイトニング』と、専用の薬剤を処方してもらい自宅にて行う『ホームホワイトニング』、両方を併用し即効性と持続性のいいところを合わせ持つ『デュアルホワイトニング』があります。

ホームホワイトニング

オリジナルのマウスピースと薬剤で、自宅にてマイペースにホワイトニングする方法です。
はじめに診察してマウスピースを作製したあとは、自宅でマウスピースに薬剤を入れて装着し、歯を白くします。
通院する時間がない方やマイペースにホワイトニングしたい方などに向いています。
 
ホームホワイトニングは、個人差はありますがホワイトニングし始めてから、約2週間後から効果が現れます。
白くなるのは緩やかなので、希望の白さになったら止めたり、さらに白くしたい場合は継続したりする、などのバランスを自分で調節できます。
また、白さが持続することが特徴です

ホームホワイトニングのメリット

自分のペースでホワイトニングできることがメリットです。
また、ホワイトニング効果がでるのに時間がかかりますが、白くなってからは効果が持続するので、いつも白い歯で過ごしたい方に向いています。

ホームホワイトニングのデメリット

オフィスホワイトニングに比べて使用できる薬剤の濃度が弱いので、白くなるまで時間がかかります。
また、使用方法が分からなかったり、決められた時間を守れなかったりする方、装置をはめているのが苦痛な方には向いていないでしょう。

オパールエッセンス10%ホワイトニング

オパールエッセンス10%ホワイトニング

オパールエッセンスは、先天性、全身性、薬理性、外傷性等の要因や加齢による歯牙内部の変色を効果的に取り除きます。
 
フッ素沈着やテトラサイクリンによる染色にも大きな効果が出ています。
オパールエッセンスは粘性が非常に高く、一般のホワイトニングジェルのようにトレーから漏れ出ることはありません。従ってソフトタイプのトレーを使用でき、口腔内での着用も不快感がありません。
 
オパールエッセンスでホワイトニングをした生活歯は長時間持続します。

オパールエッセンス10%ホワイトニング使用例

オパールエッセンス使用前①
テトラサイクリン(軽度のもの)
による染色
 
 
 
右向き矢印
オパールエッセンス使用後①
2週間で顕著な改善。
他の方法では2-6ヶ月かかることも
オパールエッセンス使用前②
使用前
 
 
右向き矢印
オパールエッセンス使用後②
使用後

オパールエッセンス10%ホワイトニング手順

■歯科医院での手順

1. インフォームドコンセント

1. インフォームドコンセントを受け、歯科医師より使用方法、注意事項についての説明を聞きます。

2. 口腔全体の診査

2. 口腔全体の診査と適応症かどうかの診査を受けます。

3. 歯の色の診査

3. 歯の色の診査を行います。

4. 機械的歯面清掃

4. 歯科医師又は歯科衛生士が、前処置として機械的歯面清掃を行います。

5. 歯型取り

5. 歯列に適合したカスタムトレーを製作するために、歯型を取ります。

6. 完成したカスタムトレーを受け取り、カスタムトレーの試着を行い、カスタムトレーの装着具合を確認します。
 
7. 歯科医師よりカスタムトレーへのジェルの付け方など、使用手順の説明を受けます。
注 : 試適の際は、適合性を十分に確認してください。

■ご家庭での手順

ご家庭での手順

1. 使用前には歯ブラシなどで歯面の清掃を行い、十分に水ですすぎます。
 
2. シリンジの尖端のキャップを外し、カスタムトレー上の対象歯に一歯ずつ、シリンジからジェルを注入します。


注入する量は、6 歯合計で、シリンジ半量を最大量とします。
ジェルの必要量には個人差があります。
歯科医師が決めた必要量以上は使用しないでください。
対象歯以外にジェルを付けないでください。

ご家庭での手順

3. カスタムトレーにジェルが適量付いたのを確認後、鏡などを利用して指導を受けた要領で歯にセットします。


ジェルがはみ出してきたときはティッシュペーパーや脱脂綿等で拭き取ってください。
カスタムトレーは強くかみすぎないでください。
装着は 1 日 1 回、2 時間以内にとどめてください。

ご家庭での手順

4. 終了後は、カスタムトレーを  慎重に口から取り出して、口を水で十分にすすいでください。


カスタムトレーは歯ブラシ、水できれいに洗浄し、ティッシュペーパーなどで水分を拭き取って清潔にトレーケース内で保管してください。
カスタムトレーは歯ブラ シなどで強く擦って傷をつけたり、変形させないようにしてください。
カスタムトレーの変形を避ける為、温水での洗浄や 高温になるところへは置かないでください。

オパールエッセンス10%ホワイトニング注意事項

  1. 「オパールエッセンス10%」ジェルの必要量には個人差があります。試適を行って歯科医師によって決められた必要量以上は使用しないようにしてください。
  2. ホワイトニングは1日2時間以内で、期間は2週間以内となるようにしてください。
  3. マウストレーは使用後洗浄し清潔に保管するようにしてください。

お手軽ホームホワイトニング「オパールエッセンスGo」

オパールエッセンスGoの写真

お手軽ホームホワイトニングは、歯科医師の口腔診断後にホワイトニングジェルが予め充填された既成トレイを処方してもらい、すぐにホワイトニングがスタート出来る方法です。

カスタムトレイを使用したホームホワイトニング

カスタムトレイの写真

歯科医院でご自身専用のマウスピース(カスタムトレイ)を作成してもらい、ご自宅でホワイトニング材をトレイに入れてホワイトニングを行う方法です。

オフィスホワイトニング

歯科医院で行うホワイトニングです。
はじめに診察し、虫歯がある場合は虫歯治療したり、薬剤を浸透しやすくするためのクリーニングを行ったりすることがあります。
その後、カウンセリングにて希望する白さを決め専用のジェルを塗布し、特殊な光をあててホワイトニングしていきます。
12時間程度で白くなりますが、持続力があまりありません。一時的なイベントによいですが、ずっと白い歯でいたい場合は通院し続ける必要があります。
また、使用している薬剤がホームホワイトニングなどよりも高濃度なので、痛みがでる場合があります

オフィスホワイトニングのメリット

施術した日に歯が白くなるのがメリットです。歯科衛生士が施術するので、薬剤が高い濃度のものを使用でき、短い時間で歯が白くなります。すぐに白くしたい方にはオフィスホワイトニングがオススメです。
また、カウンセリング後は椅子に座っているだけで、希望通りの歯の白さになるので、少し不器用な方や自分でホワイトニングするのが不安な方にもよいでしょう。
ムラなくきれいに仕上がるので、歯並びの良くないなど自分では塗りにくい箇所がある方でも安全にホワイトニングできます。

  • オフィスホワイトニングのメリットは、即効性があることと、手間がかからないことにあります。
  • オフィスをホワイトニングの場合、高濃度のホワイトニング剤を使用するので、ホワイトニングを行ったその日に歯の白さを実感することができます。
  • オフィスホワイトニングは、歯医者や歯科衛生士がすべて行うため、安全かつ手間がかからないところも特徴です。
  • すぐにでも歯を白くしたい人や、ホームホワイトニングのように自分ひとりでケアを行う方法は面倒だという人におすすめです。

オフィスホワイトニングのデメリット

持続性が低

オフィスホワイトニングは、即効性がある分、ホームホワイトニングより効果が長持ちしない傾向にあります。

着色の度合いなどにもよりますが、持続時間は平均して3~6ヶ月ほどであり、ホームホワイトニングの平均である1~2年を大きく下回ります。

そのため、定期的にケアしたり、歯磨きや生活習慣を改善する必須となります。

ホームホワイトニングより多少高め

平均相場としては、1回につき3~5万円が目安ですが、高いところになると10万以上のところもあります。

オフィスホワイトニングは効果が短いこともあり、トータルの費用はホームホワイトニングより多くかかってしまうことになります。

施術後は着色しやすい

ホワイトニング後は着色しやすくなるため、数日間色の濃はい食べ物や飲み物などは控えてください。また、タバコを吸う方はニコチンでの着色が起こるので、吸う本数を控えるか、できれば数日禁煙しましょう。

歯が痛むことがある

施術中やホワイトニング後に歯がしみたり、痛んだりすることがあります。

これは、濃度の強い薬剤を使っていることが原因なので、しばらくすると痛みはおさまりますが、不安な方はご相談してください。

白くならない歯がある

神経がない歯や詰め物は白くなりません。はじめのカウンセリングの際に、歯の状態を相談することで、効果がでやすいホワイトニングや他の審美歯科治療のご案内などができます。

オフィスホワイトニングの注意点

  1. オフィスホワイトニングを行った後は、24~48時間は禁煙するよう指示するクリニックが多くなっています。
  2. また、オフィスホワイトニング後、24時間はコーヒーは紅茶、赤ワイン、カレー、チョコレートなど、歯に着色汚れがつきやすそうな食べ物、飲み物は制限されます。

オフィスホワイトニング『TiON(ティオン)ホワイトニングシステム』

当院では、株式会社ジーシーの『TiON(ティオン)ホワイトニングシステム』を採用しています。
他のオフィスホワイトニングと比べ、下記のような特徴があります。
 
 

詳しくは こちらもご覧下さい。
(株式会社ジーシーのホワイトニングページに飛びます)
オフィスホワイトニング

TiON(ティオン)ホワイトニングシステムの特徴

●新しいオフィスホワイトニング材
新技術「可視光応答型光触媒V-CAT(TiO2-xNx)」の応用により、比較的低い過酸化水素濃度で、高いホワイトニング効果と低刺激性を両立させた、新しいオフィスホワイトニング材です。
 
●歯肉を守るレジン
歯肉保護レジンはホワイトニングジェルの歯肉への付着を防ぎます。

TiON(ティオン)ホワイトニングシステムの手順

1.表面のクリーニング

1.歯表面のクリーニング

2.歯肉保護

2.歯肉保護

3.ホワイトニングジェルの塗布

3.ホワイトニングジェルの塗布

4.光を照射

4.光を照射

5.効果の確認

5.効果の確認

ファイバーコア

ファイバーコアポストシステムとは?

ファイバーコア ポストは、細いグラスファイバーの繊維を樹脂で固めたピンのような材料です。このピンを補強材にし、その周りに歯の色に似たグラスファイバー強化型樹脂でコアの形に整えます。 ファイバーコア ポストで作られたコアは、従来の金属製コアとは、違い、様々な特長があります。

金属製コア
金属製コア
ファイバーコアポスト
ファイバーコアポスト

コア(土台)とは?

コアは歯科用語で「支台築造体(したいちくぞうたい)と言い、字の通り「歯を支える台」のことです。
 
虫歯になった部分を取り除き、根の治療を行ったあとは、クラウン(かぶせもの)を支える台としてコアを入れる必要があります。
 
コアの素材は従来金属が主流でしたが当院では最新のグラスファイバー系材料「ファイバーコアポスト」を採用することで、より美しく、自然な仕上がりとなります。

コア(支台築造体)仕組み

美しく自然な仕上がり

歯は光を透過しますが、金属製のコアはまったく光を透過しません。
ファイバーコアポストで作られたコアは光の透過も歯に近く、とても自然で美しい仕上がりになります。

金属製コア
金属製コア
ファイバーコアポスト
ファイバーコアポスト
比較模型

ファイバーコアポストは歯に似た光の透過性があり、金属製のコアのような影ができにくい素材です。
また、金属の色が歯ぐきを透過して見える黒ずみの心配もありません。

天然歯に似たしなやかさ

金属製コアはとても硬く、強い力が加わると直接歯の根に力を伝え、根を壊してしまうことがあります。
ファイバーコアポストは適度なしなやかさがあり、衝撃を吸収することで根を壊しにくく、歯にも優しい材料です。

ファイバーコアポスト仕組み
ファイバーコアポスト

金属アレルギーの心配がない

コアからクラウン(かぶせもの)まで金属を一切使わずに修復できますので、
金属アレルギーの心配もありません。

 

 
 
友だち追加
 
 
 
 
 
 
男性歯科衛生士さん歓迎!
 
 
 
 

PDFファイルをご覧になるには、アドビ社のサイトから「Adobe Reader」をダウンロード(無料)してください。